كتب- رفعت رجب منصور
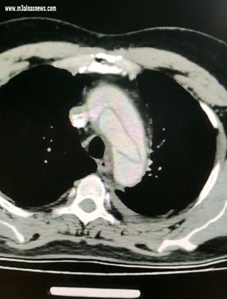
نجح قسم جراحة القلب والصدر بمستشفى أسيوط الجامعي في إجراء عملية جراحية لإصلاح انشطار بالشريان الأورطي لمريض يبلغ من العمر 46 عاما ، كان يعاني من آلام شديدة بمنطقة الصدر وأعلى الظهر ، حيث أجراها فريق طبي من العديد من التخصصات الطبية برئاسة الأستاذ الدكتور أحمد غنيم رئيس قسم جراحة القلب والصدر.
كما ضم الفريق الطبي كل من الدكتور أحمد حمد طه أستاذ مساعد جراحة القلب والصدر ، والدكتور محمد فاروق عبد الحافظ مدرس جراحة القلب والصدر والدكتور عمرو إبراهيم مدرس جراحة القلب والصدر ، وطبيب محمد ربيع مدرس مساعد بقسم جراحة القلب و الصدر و طبيب أحمد جاد الله معيد جراحة القلب والصدر وأطباء التخدير بقيادة الدكتور هاني مصطفى استشاري التخدير والرعاية المركزة
وذلك تحت رعاية الأستاذ الدكتور طارق الجمال رئيس الجامعة، والأستاذ الدكتور علاء عطيه عميد كلية الطب ورئيس مجلس إدارة المستشفيات، والأستاذ الدكتور إيهاب فوزي المدير التنفيذي للمستشفيات الجامعية، والأستاذ الدكتور حسام العربي مدير مستشفى القلب الجامعي.
قام فريق طبي بقسم جراحة القلب والصدر بمستشفى أسيوط الجامعي بإجراء عملية جراحية ناجحة، وهو ما يسجل انجاز طبي جديد لقسم القلب، حيث يمثل قسم جراحة القلب والصدر علامة مسجلة يفخر بها مستشفيات جامعة أسيوط ، ويضم القسم فريقاً لجراحة القلب والصدر من أكبر وأكثر جراحي القلب والصدر خبرة في مصر ، منهم الدكتور أحمد المنشاوي نائب رئيس جامعة لشئون الدراسات العليا والبحوث واستاذ جراحة القلب، ويتم من خلاله إجراء العمليات المعقدة مثل تغيير شرايين القلب واستبدالها وإصلاح الصمامات وغير ذلك من الجراحات المتطورة. وتوفر الجامعة الإمكانيات اللازمة لتوفير التقنيات الجراحية والمعدات والأجهزة لإجراء مثل تلك العمليات المعقدة.
من جانبه قال الأستاذ الدكتور أحمد غنيم، أن جراحات انشطار الشريان الاورطي من العمليات المعقدة و التي تحتاج إلى سرعة في التشخيص و سرعة في التدخل الجراحي ، و مرضى هذا النوع من الأمراض في الغالب تتراوح أعمارهم فيما بين العقد الثالث و الربع من العمر .
واضاف الدكتور محمد فاروق مدرس جراحة القلب والصدر ، أن هذا النوع من العمليات يستلزم فريق جراحي كبير يضم عدة تخصصات كالجراحين و أطباء التخدير ، و تستغرق مدة هذه العمليات من ٦ الي ١٠ ساعات في بعض المجالات ، وبعد الإنتهاء من العملية ينتقل المريض إلى الرعاية المركزة لمتابعة الحالة إلى أن تستقر





















